在医疗诊断、手术导航等核心场景中,医疗显示器的分辨率直接影响影像细节识别与诊疗准确性,选对分辨率成为医疗机构采购的关键决策。面对1080P、4K、8K三种主流规格,不少采购人员陷入纠结——究竟哪种分辨率更适配医疗场景?本文结合医疗显示器的专业属性与实际应用需求,为你详细解析选型逻辑。

1080P(1920×1080)作为基础分辨率的医疗显示器,凭借成熟技术与亲民价格,仍是基层医疗机构的优选。这类医疗显示器适用于超声检查、常规体检影像浏览等非精准诊断场景,其像素密度在15-22英寸屏幕下可满足基础影像观察需求。对于预算有限、日均诊疗量不大的社区医院或诊所而言,1080P医疗显示器能平衡实用性与成本,且兼容多数医疗设备的影像输出格式,无需额外升级适配系统。

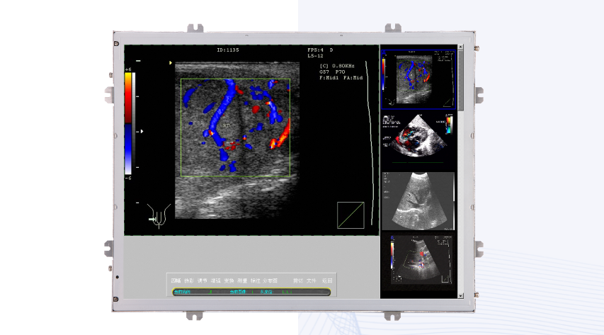
4K分辨率(3840×2160)是当前医疗显示器的主流选择,尤其适配放射科、病理科等核心诊断场景。相比1080P,4K 医疗显示器的像素数量提升4倍,在27-32英寸屏幕上可实现超高像素密度,能清晰呈现CT、MRI 影像中的微小病灶(如早期肿瘤、细微骨折)。此外,4K医疗显示器支持分屏多影像对比功能,医生可同时查看原始影像、病灶标记图与历史病例,大幅提升诊断效率。目前多数三甲医院、专科医院采购时优先选择4K规格,其性能与价格的均衡性使其成为医疗显示器市场的 “性价比之王”。

8K分辨率(7680×4320)作为高端医疗显示器的代表,主要面向精准医疗、科研教学等特殊场景。8K医疗显示器能呈现极致细腻的影像细节,适用于显微影像诊断、微创手术导航等对清晰度要求极高的场景,例如在神经外科手术中,可帮助医生精准定位神经纤维与血管分布。不过,8K医疗显示器价格较高,且对配套设备(如影像工作站、传输线路)的要求更高,目前仅在少数顶级医院或科研机构应用,尚未成为市场主流。

选型时还需注意,医疗显示器的分辨率选择需结合使用场景、设备兼容性与预算综合判断:基层医疗机构优先考虑 1080P,核心诊断场景首选 4K,特殊精准医疗需求可选择 8K。同时,需确保医疗显示器符合 DICOM 标准,分辨率与校准精度、亮度均匀性等参数协同,才能真正保障诊疗准确性。